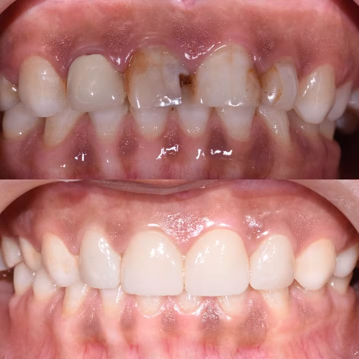
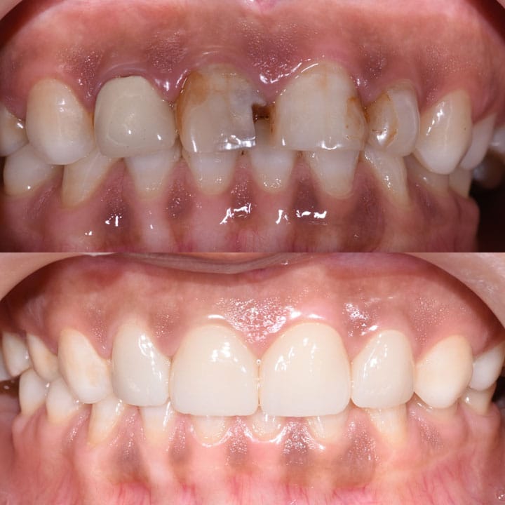
Vad är en porslinskrona?
En porslinskrona är en fastsittande konstruktion som sitter över den egna tandroten – den träs över tanden som en fingerborg och limmas fast.
Porslinskronan är ett mer hållbart alternativ än lagningar och skyddar tanden. Med en porslinskrona kan även tandens färg och form ändras och porslin är färgbeständigt och missfärgas inte.
Våra tandläkare gör alltid en bedömning om lagning är ett lämpligt alternativ och informerar om porslinskrona är en mer hållbar lösning.
Hur görs en porslinskrona?
Först avlägsnas gamla lagningar och skador som karies. Därefter förbereds plats för porslinsmaterialet genom en slipning. Sedan scannas tanden digitalt och i vissa fall tas ett avtryck på tanden och skickas till vår tandtekniker som framställer porslinskronan.
Kronan provas in, eventuella justeringar görs och sist cementeras den fast. En porslinskrona består helt av porslin och kan vara svår att skilja från egna tänder. Om man inte ska ändra färg eller form på övriga tänder görs de likt de andra tändernas och de ser då naturliga ut och inte alls konstgjorda.
Öppettider
| Monday: | 07:00 – 19:00 |
|---|---|
| Tuesday: | 07:00 – 19:00 |
| Wednesday: | 07:00 – 19:00 |
| Thursday: | 07:00 – 19:00 |
| Friday: | 08:00 – 15:00 |
Vad är en bro eller bygga?
En bro, i vardagligt tal kallat tandbrygga, är en metod för att ersätta saknade tänder. Bron är en fastsittande konstruktion som fäster på tänderna bakom och framför den saknade tanden eller tänderna.
Den tillverkas i porslin och är ett mycket hållbart alternativ som även är estetisk – färg och form kan ändras om du har specifika önskemål. Ibland är tandimplantat en bättre eller mer lämplig metod att ersätta tänder. Klicka på länken för att läsa mer om tandimplantat.
Hur görs en bro?
Principen skiljer sig inte nämnvärt från hur en porslinskrona görs. Den största skillnaden är att den fäster på flera tänder som det då görs en tillslipning på. En bro kan användas för att ersätta en eller flera tänder.
I vilket material görs kronor och broar?
Principen skiljer sig inte nämnvärt från hur en porslinskrona görs. Den största skillnaden är att den fäster på flera tänder som det då görs en tillslipning på. En bro kan användas för att ersätta en eller flera tänder.
Vanliga frågor
Det vanligaste alternativet till broar eller tandbryggor är tandimplantat. Om granntänderna är friska, saknar skador och lagningar är ett tandimplantat ett bättre alternativ. Man vill alltid undvika att borra i friska tänder.
Vid det besök där förberedelsen för en bro eller porslinskrona görs får du alltid lokalbedövning för att behandlingen ska vara helt smärtfri. När bedövningen har släppt kan tandköttet vara lite känsligt eller irriterat, men det går snabbt över.
Dagens moderna porslinsmaterial som broar och porslinskronor tillverkas av är väldigt starka och hållbara material. Om de vårdas väl med god munhygien kan de hålla väldigt många år. Ibland kan det vara aktuellt med en nattskena som skydd. Om man missköter tänderna kan det uppstå karies under broar och porslinskronor vilket leder till att de kan lossna eller att man får värk.
Ibland är tänder så pass skadade att det måste användas ett stift för att göra en bro eller porslinskrona. Det innebär att det sätts ett stift, pelare, i den egna tandroten som då räddas och kan behållas. Tanden kan då användas som ett bra fäste för att göra en porslinskrona eller bro. Dessa tänder är alltid rotfyllda för att inga infektioner eller inflammationer ska uppstå.
I samband med att du får dem på plats får du instruktion i skötsel och rekommendation av produkter som hjälper dig att hålla rent för att du ska kunna ha kvar din bro eller porslinskrona i många år. Vad gäller rengöring är den största skillnaden mellan en bro och porslinskrona att du inte kan ta tandtråd mellan tänderna i bron, istället kan du använda mellanrumsborstar eller en speciell tandtråd. Porslinskronor fungerar som egna tänder och du kan använda alla hjälpmedel såväl som tandtråd.
När du gör en fullständig undersökning diskuterar vi de olika tandersättningarna som tandimplantat, bro, porslinskrona eller skalfasad. Det är individuellt vad som passar bäst och är rätt metod för dig. Du får även information om kostnad såväl som för- och nackdelar och eventuella risker eller komplikationer.
Ibland kan äldre kronor och broar i metallkeramik och med äldre cement, lim, lossna. Oftast är anledningen att det blivit karies under dessa eller att själva tanden under gått sönder eller att hela roten är spräckt. Det är alltid viktigt att söka akuttandvård för att få hjälp omgående och inte vänta.




